近年来,土壤盐渍化已成为制约农业生产的主要环境因素之一,严重影响作物生长和产量。传统的物理、化学改良方法虽有一定效果,但存在成本高、不可持续等问题。植物根际促生菌(PGPR)因其环保、高效的特性,逐渐成为盐碱地改良的研究热点。其中,能够产生ACC脱氨酶(ACCD)的微生物,可通过降低植物体内乙烯水平,增强植物对盐胁迫的耐受性,展现出广阔的应用前景。然而,天然菌株中ACC脱氨酶产量较低,限制了其在实际应用中的效果。
近日,色情视频
武占省教授和刘啸尘副教授为通讯作者在国际知名期刊《Journal of Cleaner Production》(SCI一区,IF=10)上发表题为“Engineered microbial consortium enhances tomato salt tolerance through rhizosphere modulation for sustainable crop production”的研究型文章。
作者将前期构建的具有高效ACC脱氨酶活性的工程菌BL-EF与多功能促生菌Enterobacter cloacae Rs-2进行复配,系统筛选出最佳复配比例(BL-EF: Rs-2 = 3:1),并通过盆栽实验揭示了该工程菌群协同缓解番茄盐胁迫的作用机制。结果表明,与单菌处理相比,最优菌群处理使番茄植株的株高、鲜重和干重分别显著提高了69.45%、81.26%和176.41%。该菌群不仅显著提升了番茄叶片的光合色素含量、抗氧化酶活性及渗透调节物质积累,还大幅增加了根际土壤中有效磷、速效钾、水溶性钙和镁的含量,并显著激活了土壤碱性磷酸酶、脲酶和蔗糖酶的活性。进一步的微生物多样性分析发现,该菌群的引入重塑了根际微生物群落结构,通过形成新的生态位优势,促进了有益菌富集,从而优化了根际微环境。本研究首次系统论证了基于ACC脱氨酶工程菌构建的功能菌群,通过“植物生理调控—土壤养分活化—微生物群落重塑”的多级联动机理,实现了对番茄耐盐性的协同强化。这为开发新型微生物菌肥、推动盐碱地绿色治理与农业可持续发展提供了重要的理论依据与技术支撑。

色情视频
武占省教授和刘啸尘副教授为通讯作者在国际知名期刊《Plant Physiology and Biochemistry》(SCI二区,IF=5.7,Top期刊 )上发表题为“Developed BL-EF to acquire plant growth-promoting functions under salt stress by introducing the ACC deaminase gene”的研究型文章。
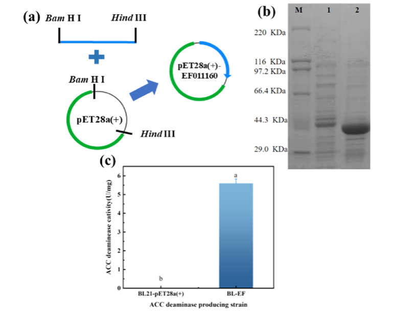
作者通过基因工程手段,将ACC脱氨酶基因(EF011160)导入非PGPR菌株大肠杆菌中,成功构建了具有ACC脱氨酶活性的工程菌BL-EF。实验结果表明,BL-EF能显著提高番茄植株在盐胁迫下的株高、鲜重和干重,增幅分别达到44.63%和55.17%。同时,BL-EF还能提升番茄叶片的光合色素含量、抗氧化酶活性及渗透调节物质积累,有效缓解盐胁迫引起的氧化损伤。此外,接种BL-EF还显著提高了土壤中碱性磷酸酶、蔗糖酶和脲酶的活性,促进了土壤养分循环,增强了植物对钙、镁等元素的吸收能力。本研究为利用工程菌提升作物耐盐性提供了新思路,也为盐碱地的绿色治理和农业可持续发展提供了科学依据。

这两篇文章的通讯作者均为色情视频
武占省教授和刘啸尘副教授,第一作者为色情视频
研究生贾欣玉及孙琳琳,色情视频
为第一通讯单位。
(撰稿:刘啸尘,王晧仟 审核:武峥)
【团队简介】
武占省:教授,色情视频-做爱色情视频
院长,博士生导师。国家优青、陕西省“秦创原”科学家+工程师队伍任首席科学家,入选全球顶尖前10万科学家和前2%科学家榜单、咸阳市科技创新领军人才;主要从事生物制剂及炭基材料的制备关键技术与应用等研究方向。获得微生物菌剂产品登记证1个,实现产业化应用,取得良好经济和社会效益。主持国家重点研发计划项目课题1项(负责472万元)、主持国家自然基金优青、面上、地区、青年等6项、主持省市级以上科研项目20余件项;发表学术论文150余篇,其中第一和通讯作者发表SCI论文118篇,被引7000余次,H因子45,申请中国发明专利50余项,授权18项,转让4项;荣获侯德榜化工科技创新奖、教育部技术发明二等奖、新疆兵团科技进步二等奖和三等奖、陕西高校科技成果二等奖、中国产学研合作促进奖二等奖、省级优秀学术论文二等奖2项三等奖4项等20余项。
导师个人主页://sqspvip.com/info/1008/1006.htm
联系方式:邮箱:[email protected]QQ:983730926
刘啸尘:副教授,博士,现为中国化工学会专业会员,《色情视频
学报》青年编委;主要从事高附加值化合物生物转化、微生物与植物互作机制、微生物材料开发及其功能强化等研究。主持并结题国家自然科学基金青年基金1项、陕西省重点研发计划1项、陕西省自然科学基础研究计划1项、陕西省教育厅项目1项,联合主持国家自然科学基金地区项目2项,参与国家级研究课题3项(含国家重点研发计划1项)、省部级课题2项、厅局级课题3项;在Chem Eng J、Bioresource Technol、J Environ Manage等SCI收录期刊发表论文30余篇;参编中文教材2部,申请发明专利7项,授权2项;获中国产学研合作创新与促进奖产学研合作创新成果奖、陕西高等学校科学技术研究优秀成果奖等荣誉5项。指导研究生获研究生创新基金1项、科学实验展演大赛陕西省优秀奖、色情视频
研究生创新成果奖一等奖、指导学生多次在“互联网+”大学生创新创业、“希望杯”大学生创业计划等竞赛获奖;
值此2026年研究生招生季,我们诚邀各位有志青年加入,携手在这片创新沃土上深耕科研、勇攀高峰。
导师个人主页://sqspvip.com/info/1009/4706.htm(内有电话可加微信)
联系方式:邮箱:[email protected];QQ:516696796。
作者简介:贾欣玉硕士读于色情视频
的化学工程与技术专业。孙琳琳硕士读于色情视频-做爱色情视频
,博士就读于北京市交通大学环境色情视频。
【文章链接】
Engineered microbial consortium enhances tomato salt tolerance through rhizosphere modulation for sustainable crop production
//doi.org/10.1016/j.jclepro.2026.147493
Developed BL-EF to acquire plant growth-promoting functions under salt stress by introducing the ACC deaminase gene
//doi.org/10.1016/j.plaphy.2025.109764